搜尋
 您是第 310093 位訪客
首頁 > 熱門話題 > 胰臟腫瘤
主題:胰臟腫瘤

台大醫院內科部暨健康管理中心主治醫師/廖偉智

胰臟腫瘤會有哪些症狀?

因為胰臟位於後腹腔,許多的胰臟腫瘤在早期並沒有明顯的症狀,而是由於影像學檢查才發現。胰臟腫瘤的常見症狀包括:

(1)上腹部疼痛:常常是悶悶痛或是壓力感,往往出現在飯後或午夜,躺著疼痛常比較明顯。造成上腹部疼痛的原因有時是腫瘤壓迫十二指腸、或是腫瘤阻塞胰管或腫瘤侵犯胰臟附近的神經叢,此時常伴隨背痛。

(2)黃疸:位於胰臟頭部的腫瘤常常會壓迫到總膽管,導致膽汁無法排出,引起黃疸。另外,有些時候黃疸是由於腫瘤轉移到肝臟而引起。

(3)體重減輕:胰臟惡性腫瘤病患的體重減輕通常十分明顯,可能與發病後的進食減少、噁心嘔吐或胰臟癌阻塞胰管造成的吸收不良有關。

(4)腹瀉及脂肪便:若是腫瘤阻塞胰管,會導致胰臟分泌之消化酵素無法由胰管排至十二指腸,因此病人會有消化不良、無法吸收的情形產生。

(5)糖尿病:在胰臟癌病患中約有二分之一的患者有糖尿病,其中有接近四分之三病患其糖尿病是在診斷胰臟癌之前的兩年內發生。造成此現象的原因不明,一般認為是由於胰臟癌分泌的某些物質導致糖尿病。

(6)急性胰臟炎:有部分的腫瘤因為壓迫到胰管造成急性胰臟炎,多以急性上腹部疼痛來表現。

胰臟腫瘤有哪幾種?

大部分的胰臟腫瘤均是由胰臟的外分泌細胞而來,由內分泌細胞而來的約只有5%。臨床上常依胰臟腫瘤在影像學檢查顯像為實體腫瘤或是囊腫 ,而將其區分為實質性腫瘤及囊腫性腫瘤兩大類:

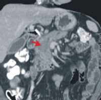
(1)實質性腫瘤:以胰腺癌最為常見,約佔胰臟所有惡性腫瘤的85%,因此一般所俗稱的胰臟癌即是指胰腺癌(如左圖,箭頭處為胰臟癌)。至於其餘如由內分泌細胞而來的胰臟內分泌腫瘤、胰腺泡瘤、實體偽乳頭瘤、淋巴瘤等均十分罕見。另外,胰臟有時也會發生從其他器官的癌症轉移而來的腫瘤。

(2)囊腫性腫瘤:囊泡型的腫瘤在影像學檢查上呈現類似水泡的模樣,有時伴有部分的實質部。若是詳究其細胞的型態,又可細分為漿液腺瘤、黏液性囊狀腫瘤、胰管內乳頭狀黏液性腫瘤等。一般而言,漿液腺瘤的癌化風險很低,多屬良性腫瘤。至於黏液性囊狀腫瘤與胰管內乳頭狀黏液性腫瘤則可能逐漸由良性的腺瘤演進為惡性的腺癌。

影像學檢查上的胰臟腫塊或囊腫一定是惡性腫瘤嗎?

影像學檢查上的胰臟囊腫除了上述的囊腫性腫瘤的可能性以外,也可能是不需治療的良性單純囊腫。至於實質性的胰臟腫塊,除了上述的種種胰臟腫瘤以外,有許多良性的疾病也可能造成胰臟在影像學檢查上呈現出腫塊。其中比較常見的情形包括以下幾種:

(1)胰臟偽腫瘤:胰臟因為種種的原因,例如飲酒造成之慢性胰臟炎、感染等造成的急性、慢性發炎,而導致胰臟的腫大。

(2)自體免疫性胰臟炎:是一種自體免疫疾病,由於淋巴球於胰臟內浸潤而造成胰臟發炎與腫大,在臨床上常以黃疸、糖尿病、體重減輕及胰臟腫塊來表現,與胰臟癌往往難以區分。

胰臟的腫瘤該如何治療?

胰臟的腫瘤首要步驟是確定診斷,若是良性腫瘤,則可視其原因、細胞型態、症狀以及未來癌化的風險,決定採取觀察追蹤、藥物治療或是手術治療;若是腫瘤性質為惡性或有高度癌化的風險,一般而言外科手術切除腫瘤是首選的治療方式。

以佔惡性腫瘤近九成的胰腺癌而言,目前最有效的治療是手術切除腫瘤,也是根治的唯一機會。因此若腫瘤還在可以完全切除的範圍,手術是最好的治療方式。然而約85%的胰臟癌患者在診斷時腫瘤就已經超過可以手術完全切除的範圍,因此可以手術切除的病患大概只佔15%左右。若是在診斷的時候腫瘤就已經超過手術可以切除的程度,此時治療以減輕症狀及治療併發症為主。

化學治療或化學治療合併放射線治療的效果相當有限,對於部份病患可以略為減輕症狀及延長存活。對於腫瘤常見的併發症,例如疼痛常需要嗎啡類止痛劑來減輕疼痛。至於腫瘤引起之膽管阻塞造成黃疸、腸胃道阻塞導致無法進食等併發症,可以考慮採用內視鏡或是手術的方式,利用支架置放或是繞道手術加以處理。

如何才能遠離胰臟疾病?

包括抽菸、慢性胰臟炎(大部分是飲酒引起)、糖尿病、肥胖以及先天的遺傳因素都是胰臟癌的危險因子。健康的生活型態、避免肥胖、抽菸,加上適度的運動,是預防胰臟癌的最好方法。

 
 
用LINE傳送 Facebook
醫學新紀元 贏戰肺癌
打造沒有肝病的美麗島,破除肝病終極密碼
發酵為什麼?關你毛髮事
美容醫學第一章 微整形正夯
紫錐花的神奇力量
高血脂症 心血管疾病的殺手
高血壓122問
大腸直腸及肛門疾病(三版增訂)
甲狀腺疾病 第四版
英雄為何氣短?肺與肺病 二版
 

COPYRIGHT © 2006 HEALTH WORLD CO.,LTD. ALL RIGHTS RESERVED. 版權所有:健康世界有限公司
地址:台北市中正區金華街43巷5號1樓 電話:02-23936557、02-23939800
 最適瀏覽尺寸為1024*768 WEB DESIGN: GOGOTDI
<a href="http://www.gogotdi.com/" target="_blank">gogotdi.¼ƦXq</a> ظm@<br> COPYRIGHTc2007 TANG DIGITAL INTEGRATION LTD. ALL RIGHTS RESERVED